• Final 9a. Avenida Sur, Clínicas de Especialidades Nuestra Señora de la Paz, local 2-1
Atras

ENFERMEDAD DE DARIER


ENFEREMEDAD DE DARIER
ENFEREMEDAD DE DARIER
ENFEREMEDAD DE DARIER
ENFEREMEDAD DE DARIER
ENFEREMEDAD DE DARIER
ENFEREMEDAD DE DARIER
ENFEREMEDAD DE DARIER
ENFEREMEDAD DE DARIER
ENFEREMEDAD DE DARIER
ENFEREMEDAD DE DARIER
ENFEREMEDAD DE DARIER
ENFEREMEDAD DE DARIER
ENFEREMEDAD DE DARIER
ENFEREMEDAD DE DARIER
ENFEREMEDAD DE DARIER
ENFEREMEDAD DE DARIER
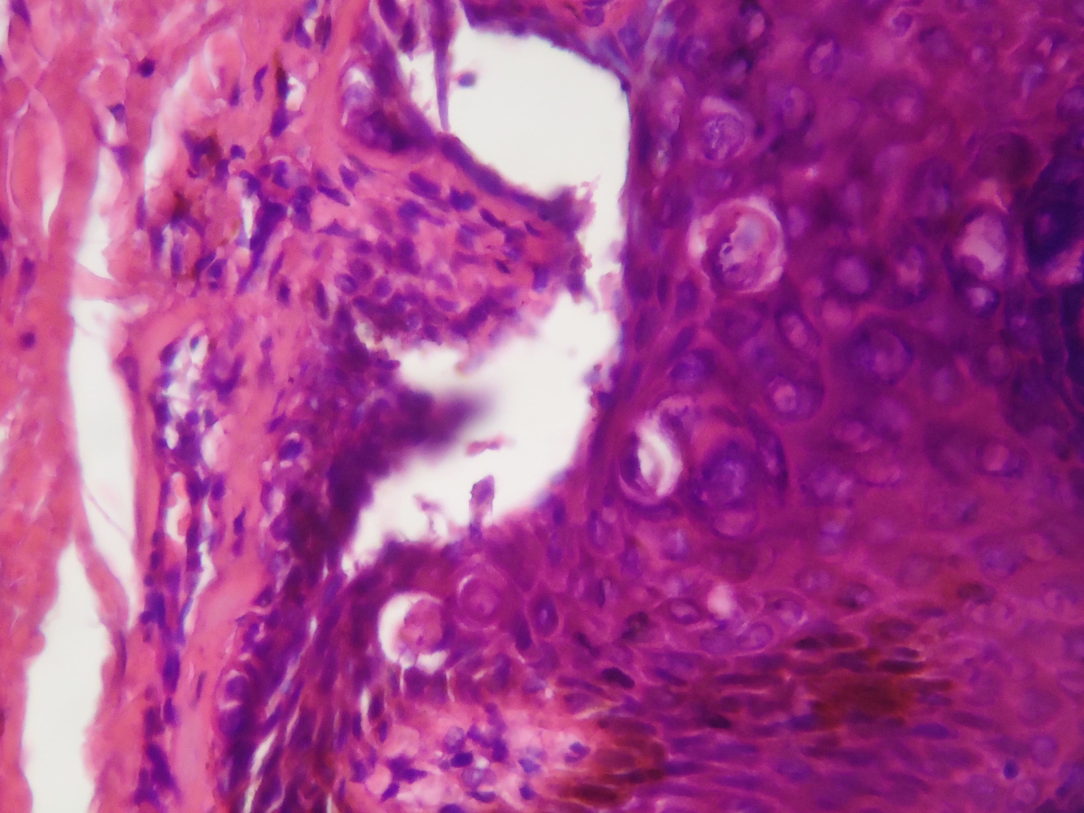
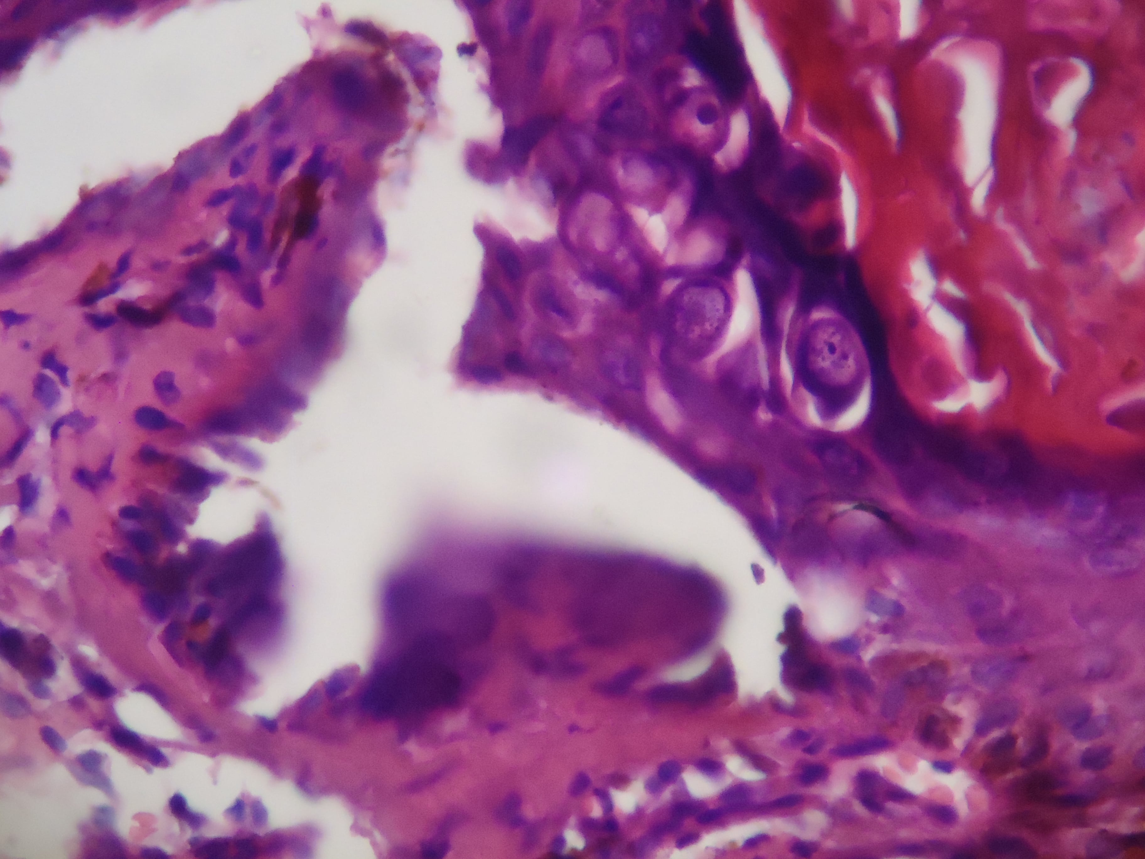
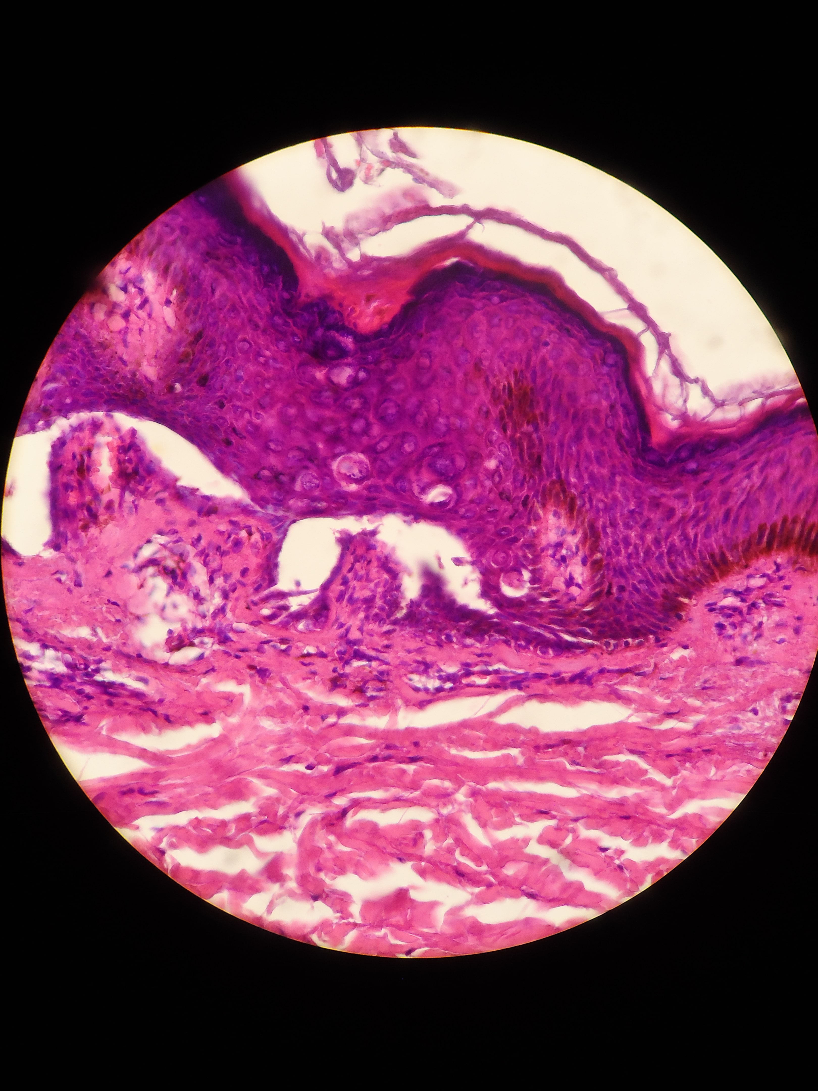
ENFEREMEDAD DE DARIER - HISTOPATOLOGIA
ENFEREMEDAD DE DARIER - HISTOPATOLOGIA
ENFEREMEDAD DE DARIER - HISTOPATOLOGIA
ENFEREMEDAD DE DARIER - HISTOPATOLOGIA
ENFEREMEDAD DE DARIER - HISTOPATOLOGIA
ENFEREMEDAD DE DARIER - HISTOPATOLOGIA
×
Descargar imagen